لمینت دندان شکسته جلو: راهکار نهایی برای بازگرداندن زیبایی و استحکام لبخند
شکستگی دندان های جلو، به ویژه در اثر حوادث یا ضربه، تجربه ای ناخوشایند است که می تواند تاثیرات منفی عمیقی بر زیبایی لبخند، اعتماد به نفس و حتی عملکرد جویدن فرد بگذارد. دندان های جلو نقش حیاتی در ظاهر و تکلم ما ایفا می کنند. به همین دلیل، ترمیم دندان شکسته جلو از اهمیت بالایی برخوردار است.
در میان روش های مختلف درمانی، لمینت دندان شکسته جلو به عنوان یک راه حل کارآمد و محبوب شناخته می شود. این روش نه تنها به بازسازی فرم و عملکرد دندان کمک می کند، بلکه زیبایی طبیعی و هماهنگ را به لبخند بازمی گرداند. در این مقاله به بررسی جامع لمینت دندان شکسته جلو می پردازیم.
ما مزایا، معایب، مراحل انجام، مراقبت های پس از آن و مقایسه با سایر روش های ترمیم را با رویکردی علمی و کاربردی تحلیل خواهیم کرد تا شما درک کاملی از این روش درمانی به دست آورید.
دلایل شکستگی دندان جلو و نقش لمینت دندان شکسته جلو در ترمیم آن
- ضربه مستقیم به صورت: برخورد در حوادث ورزشی یا تصادفات از مهم ترین عوامل شکستگی دندان جلو است.
- افتادن یا زمین خوردن: ضربه ناگهانی می تواند باعث ترک یا لب پریدگی دندان شود.
- جویدن اجسام سخت: گاز زدن به یخ، ته دیگ یا اشیای غیرخوراکی فشار زیادی به دندان وارد می کند.
- پوسیدگی های درمان نشده: ضعف ساختار دندان بر اثر پوسیدگی، احتمال شکستگی را افزایش می دهد.
- فشارهای ناگهانی یا دندان قروچه: سایش یا فشردن دندان ها در طول زمان موجب ایجاد ترک در دندان می شود.
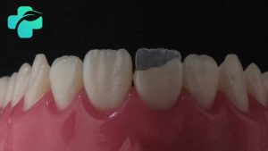
- نقش لمینت دندان: پوشش نازک و مقاومی است که روی سطح دندان آسیب دیده قرار می گیرد.
- مزیت لمینت دندان شکسته جلو: بازسازی زیبایی ظاهری و استحکام ساختاری دندان به صورت هم زمان.
انواع لمینت دندان برای دندان شکسته جلو
ترمیم دندان های جلویی شکسته نیازمند روشی است که علاوه بر بازگرداندن زیبایی، استحکام دندان را نیز حفظ کند. لمینت دندان شکسته جلو یکی از بهترین روش ها برای این هدف است و در دو نوع اصلی لمینت سرامیکی و لمینت کامپوزیتی مورد استفاده قرار می گیرد.
- لمینت سرامیکی:
این نوع از لمینت از جنس پرسلن یا سرامیک فشرده ساخته می شود و مقاومت بسیار بالایی در برابر فشار، لکه و تغییر رنگ دارد. ظاهر آن طبیعی تر بوده و بیشترین شباهت را به مینای دندان دارد. معمولاً برای ترمیم های دقیق تر و ماندگارتر استفاده می شود. - لمینت کامپوزیتی:
در این روش، لایه ای از کامپوزیت مستقیماً روی دندان شکسته قرار داده می شود. نصب آن سریع تر و مقرون به صرفه تر است اما در مقایسه با نوع سرامیکی دوام کمتری دارد و ممکن است در گذر زمان نیاز به ترمیم داشته باشد.
انتخاب نوع لمینت بستگی به میزان شکستگی، بودجه، انتظارات زیبایی و شرایط دندان فرد دارد. هر دو نوع می توانند ظاهر لبخند را بهبود بخشند و دندان های جلویی را زیبا، منظم و مقاوم کنند
مراحل درمان دندان شکسته جلو با لمینت
فرآیند قرار دادن لمینت دندان شکسته جلو شامل چند مرحله دقیق و تخصصی است که توسط دندانپزشک انجام می شود. این مراحل به دقت بالایی نیاز دارند تا نتیجه نهایی هم از نظر زیبایی و هم از نظر عملکردی رضایت بخش باشد. آشنایی با این مراحل به بیماران کمک می کند تا با آمادگی بیشتری وارد فرآیند درمان شوند.
1. فرآیند آماده سازی دندان
اولین گام در درمان شکستگی دندان جلو با لمینت دندان شکسته جلو، معاینه دقیق دندان توسط دندانپزشک است. دندانپزشک وضعیت شکستگی، سلامت لثه و نیاز به هرگونه درمان پیشینی مانند عصب کشی را ارزیابی می کند. در این مرحله ممکن است رادیوگرافی نیز انجام شود.
پس از بررسی اولیه، دندان برای پذیرش لمینت آماده سازی می شود. این آماده سازی شامل تراشیدن مقدار بسیار کمی از مینای دندان است که فضای لازم را برای قرارگیری لمینت فراهم می کند. این تراش معمولاً حداقل است و تنها به اندازه ضخامت لمینت انجام می شود تا از برجسته شدن دندان جلوگیری شود.
2. قالب گیری و ساخت لمینت
پس از آماده سازی دندان، دندانپزشک از دندان های شما قالب گیری می کند. این قالب گیری با دقت بسیار بالا انجام می شود تا جزئیات دقیق فرم دندان و مجاورت آن ثبت شود. قالب ها به لابراتوار دندانپزشکی ارسال می شوند.
در لابراتوار، تکنسین های متخصص بر اساس قالب ها و با استفاده از مواد سرامیکی یا کامپوزیتی، لمینت سفارشی شما را می سازند. این مرحله شامل لایه بندی دقیق مواد و پخت آن ها در دمای بالا است تا لمینتی با استحکام و رنگ مطلوب به دست آید. این فرآیند ممکن است چند روز تا چند هفته به طول انجامد.
3. نصب و تنظیم نهایی لمینت
پس از آماده شدن لمینت در لابراتوار، بیمار برای نصب نهایی به مطب دندانپزشکی مراجعه می کند. ابتدا دندانپزشک لمینت را به طور موقت روی دندان قرار می دهد تا از مطابقت رنگ، شکل و اندازه آن اطمینان حاصل کند. در صورت لزوم، تنظیمات جزئی در این مرحله اعمال می شود.
پس از تایید نهایی، سطح دندان با مواد مخصوص تمیز و اچ می شود تا پیوند قوی تری بین دندان و لمینت ایجاد شود. سپس با استفاده از چسب های دندانپزشکی مخصوص و بسیار قوی، لمینت به دقت روی دندان چسبانده می شود. نور لیزر یا مخصوص برای سخت شدن چسب به کار می رود.
در نهایت، دندانپزشک هرگونه چسب اضافی را برداشته و سطح لمینت را پولیش می دهد. تنظیمات نهایی مربوط به بایت (نحوه بسته شدن دندان ها) نیز بررسی می شود تا راحتی و عملکرد صحیح دندان تضمین شود. این فرآیند، جایگزینی دندان جلو شکسته با لمینت را تکمیل می کند.
مزایا و معایب لمینت برای دندان شکسته جلو
تصمیم گیری برای انجام لمینت دندان شکسته جلو مستلزم درک کاملی از مزایا و معایب آن است. این اطلاعات به بیماران کمک می کند تا انتظارات واقع بینانه ای داشته باشند و بهترین گزینه درمانی را برای خود انتخاب کنند.
مزایای برجسته لمینت دندان شکسته جلو
لمینت دندان شکسته جلو دارای فواید بسیاری است که آن را به یک روش محبوب برای ترمیم تبدیل کرده است. این مزایا نه تنها جنبه های زیبایی، بلکه عملکرد و دوام را نیز در بر می گیرند.
- زیبایی فوق العاده: لمینت ها، به ویژه نوع سرامیکی، شباهت زیادی به مینای طبیعی دندان دارند و می توانند لبخندی زیبا، یکدست و درخشان را به ارمغان آورند. پوشش دندان جلو شکسته با لمینت، ظاهر طبیعی دندان را بازیابی می کند.
- دوام و ماندگاری بالا: با رعایت مراقبت های لازم، لمینت های سرامیکی می توانند تا ۱۵ سال یا حتی بیشتر دوام داشته باشند. این دوام بالا، لمینت را به یک سرمایه گذاری طولانی مدت تبدیل می کند.
- مقاومت در برابر لکه پذیری: لمینت های سرامیکی در برابر لکه های ناشی از قهوه، چای و سایر مواد غذایی رنگی بسیار مقاوم هستند و درخشش خود را حفظ می کنند.
- ترمیم سریع و موثر: این روش می تواند در مدت زمان نسبتاً کوتاهی، آسیب های ظاهری ناشی از شکستگی را به طور کامل برطرف کند و زیبایی لبخند را بازگرداند.
- تقویت ساختار دندان: لمینت با چسبیدن محکم به سطح دندان، می تواند ساختار دندان آسیب دیده را تا حدی تقویت کند و آن را در برابر شکستگی های آتی مقاوم تر سازد.
ملاحظات و معایب احتمالی دندان شکسته جلو
مانند هر روش درمانی دیگری، لمینت دندان شکسته جلو نیز دارای برخی محدودیت ها و معایب احتمالی است که باید پیش از تصمیم گیری نهایی مورد توجه قرار گیرد.
- برگشت ناپذیری: در بیشتر موارد، برای نصب لمینت سرامیکی نیاز به تراشیدن مقدار کمی از مینای دندان است. این فرآیند برگشت ناپذیر است، به این معنی که نمی توان لمینت را بدون جایگزین به طور کامل برداشت.
- هزینه بالا: هزینه لمینت، به ویژه نوع سرامیکی، نسبت به برخی روش های دیگر مانند باندینگ کامپوزیت بیشتر است. این هزینه می تواند برای برخی افراد یک چالش باشد.
- عدم قابلیت ترمیم جزئی: در صورت آسیب دیدن لمینت سرامیکی (مانند لب پر شدن یا شکستگی)، معمولاً امکان ترمیم جزئی آن وجود ندارد و باید لمینت به طور کامل تعویض شود.
- حساسیت موقت: برخی بیماران ممکن است پس از نصب لمینت، حساسیت موقتی به سرما یا گرما را تجربه کنند که معمولاً طی چند هفته برطرف می شود.
- نیاز به مراقبت: اگرچه لمینت ها مقاوم هستند، اما برای افزایش طول عمر آن ها نیاز به رعایت بهداشت دهان و دندان دقیق و پرهیز از عادات نامناسب مانند گاز گرفتن اجسام سخت است.
مراقبت های پس از لمینت دندان جلو شکسته
پس از انجام لمینت دندان شکسته جلو، رعایت دستورالعمل های مراقبتی دندانپزشک برای تضمین دوام و حفظ زیبایی لمینت ضروری است. مراقبت های صحیح می تواند طول عمر لمینت شما را به طور قابل توجهی افزایش دهد.
توصیه های نگهداری روزانه
بهداشت دهان و دندان خوب، سنگ بنای نگهداری از لمینت هاست. مسواک زدن منظم و صحیح، نخ دندان کشیدن و استفاده از دهان شویه مناسب از اهمیت ویژه ای برخوردار است. این اقدامات از تجمع پلاک و باکتری در اطراف لمینت و لثه جلوگیری می کنند.
- مسواک زدن: حداقل دو بار در روز با مسواک نرم و خمیر دندان غیرساینده مسواک بزنید. حرکات ملایم و دایره ای را رعایت کنید.
- نخ دندان: روزانه از نخ دندان برای تمیز کردن بین دندان ها و زیر خط لثه استفاده کنید تا پلاک و ذرات غذا حذف شوند.
- دهان شویه: استفاده از دهان شویه های حاوی فلوراید (بدون الکل) می تواند به حفظ سلامت کلی دهان کمک کند.
نکات مهم برای افزایش ماندگاری
برای حفظ دوام و ماندگاری لمینت دندان شکسته جلو، علاوه بر بهداشت روزانه، باید از برخی عادات و رفتارها پرهیز کرد و توصیه های دندانپزشک را جدی گرفت. این اقدامات به حفظ طولانی مدت زیباسازی دندان شکسته جلویی کمک می کند.
- پرهیز از اجسام سخت: از گاز گرفتن ناخن، مداد، یخ، مغزهای سخت و هرگونه شیء سفت که می تواند به لمینت دندان شکسته جلو آسیب بزند، خودداری کنید.
- احتیاط در مصرف غذاهای سفت: در مصرف غذاهای بسیار سفت یا چسبنده احتیاط کنید. گاز زدن مستقیم سیب یا هویج سفت می تواند به لمینت فشار وارد کند.
- استفاده از محافظ دندان: اگر به دندان قروچه (براکسیسم) شبانه مبتلا هستید، استفاده از محافظ دندان (نایت گارد) که دندانپزشک تجویز می کند، ضروری است.
- ویزیت های منظم دندانپزشکی: معاینات دوره ای (حداقل هر ۶ ماه یکبار) برای بررسی وضعیت لمینت دندان شکسته جلو و سلامت کلی دهان بسیار مهم است. دندانپزشک می تواند مشکلات احتمالی را در مراحل اولیه تشخیص دهد.
- پرهیز از غذاهای رنگی افراطی: اگرچه لمینت های سرامیکی مقاوم به لکه هستند، اما مصرف زیاد و مداوم غذاها و نوشیدنی های بسیار رنگی (مانند قهوه، چای، نوشابه، سس های تیره) ممکن است در طول زمان بر درخشش آن ها تأثیر بگذارد.
مقایسه لمینت و روش های دیگر برای ترمیم دندان شکسته جلو
علاوه بر لمینت، روش های دیگری نیز برای ترمیم دندان شکسته جلو وجود دارد که هر یک مزایا و معایب خاص خود را دارند. درک این تفاوت ها به انتخاب بهترین درمان شکستگی دندان جلو کمک می کند. دو روش اصلی دیگر، باندینگ کامپوزیت و روکش دندان هستند.
لمینت در برابر باندینگ کامپوزیت
باندینگ کامپوزیت یک روش ترمیمی است که در آن رزین کامپوزیت مستقیماً روی دندان اعمال شده و فرم داده می شود. این روش سریع تر و کم هزینه تر از لمینت سرامیکی است و معمولاً نیاز به تراش دندان ندارد. برای شکستگی های بسیار جزئی یا تغییر شکل های کوچک، باندینگ می تواند گزینه ی مناسبی باشد.
با این حال، باندینگ کامپوزیت در مقایسه با لمینت سرامیکی، دوام کمتری دارد و بیشتر مستعد لکه پذیری و تغییر رنگ است. همچنین، استحکام آن کمتر بوده و ممکن است در طول زمان نیاز به ترمیم یا تعویض داشته باشد. لمینت سرامیکی به دلیل زیبایی و دوام بالاتر، برای ترمیم های وسیع تر و با ماندگاری طولانی تر، گزینه بهتری است.
لمینت در برابر روکش دندان
روکش دندان (تاج دندان) یک پوشش کامل است که تمام سطح دندان را در بر می گیرد. این روش زمانی استفاده می شود که شکستگی بسیار گسترده باشد، دندان به شدت ضعیف شده باشد یا پس از عصب کشی نیاز به محافظت داشته باشد. روکش ها استحکام بسیار بالایی ارائه می دهند و می توانند دندان را به طور کامل محافظت کنند.
اما برای نصب روکش، معمولاً نیاز به تراشیدن مقدار قابل توجهی از مینا و عاج دندان است که این فرآیند بسیار تهاجمی تر از لمینت دندان شکسته جلو است. لمینت ها تنها بخش جلویی دندان را می پوشانند و برای مواردی که ساختار دندان نسبتاً سالم است، گزینه محافظه کارانه تری محسوب می شوند. انتخاب بین روکش و لمینت بستگی به میزان آسیب و نیاز به استحکام دندان دارد.
نتیجه گیری
لمینت دندان شکسته جلو یک راه حل درمانی و زیبایی شناختی موثر و کارآمد برای بازگرداندن لبخندی زیبا و اعتماد به نفس به افراد است. این روش با ارائه پوششی مقاوم و طبیعی، نه تنها نواقص ظاهری ناشی از شکستگی را برطرف می کند، بلکه به تقویت ساختار دندان آسیب دیده نیز کمک می نماید.
انتخاب بین لمینت سرامیکی و کامپوزیتی، مستلزم مشاوره با دندانپزشک و در نظر گرفتن مزایا و معایب هر یک است. با رعایت دقیق مراحل درمانی و پیروی از توصیه های مراقبتی پس از لمینت دندان شکسته جلو، می توان از دوام و زیبایی این درمان برای سالیان طولانی بهره مند شد.
در نهایت، هدف از این مقاله ارائه اطلاعات کامل درمورد لمینت دندان شکسته جلو بود تا شما با آگاهی کامل بهترین تصمیم را برای سلامت و زیبایی لبخند خود اتخاذ نمایید. با مراجعه به یک دندانپزشک متخصص و مجرب، می توانید بهترین نتیجه را از درمان شکستگی دندان جلو با لمینت دریافت کنید.
سوالات متداول
- آیا لمینت دندان شکسته جلو دائمی است؟لمینت به معنای دائمی بودن کامل نیست، اما با مراقبت صحیح می تواند ماندگاری طولانی (۱۰ تا ۱۵ سال برای لمینت سرامیکی) داشته باشد. با گذشت زمان ممکن است نیاز به تعویض یا ترمیم پیدا کند.
- آیا لمینت دندان شکسته جلو دردناک است؟فرآیند آماده سازی و نصب لمینت معمولاً با بی حسی موضعی انجام می شود و نباید دردناک باشد. پس از درمان، ممکن است برخی بیماران حساسیت موقت به گرما و سرما را تجربه کنند.
- آیا می توان رنگ لمینت دندان شکسته جلو را تغییر داد؟پس از ساخت و نصب، رنگ لمینت های سرامیکی ثابت است و قابل تغییر نیست. به همین دلیل، انتخاب رنگ مناسب در ابتدا بسیار اهمیت دارد. لمینت کامپوزیتی ممکن است کمی لکه پذیری داشته باشد.
- چه زمانی نمی توان از لمینت دندان شکسته جلو استفاده کرد؟اگر شکستگی دندان بسیار وسیع باشد و بخش زیادی از ساختار دندان را از بین برده باشد، یا اگر دندان به شدت پوسیده و دچار عفونت باشد، لمینت گزینه مناسبی نیست و ممکن است نیاز به روکش کامل یا درمان های ریشه ای باشد.
- آیا لمینت دندان شکسته جلو نیاز به نگهداری خاصی دارد؟لمینت ها نیاز به رعایت بهداشت دهان و دندان دقیق مانند دندان های طبیعی دارند. مسواک زدن منظم، استفاده از نخ دندان و ویزیت های دوره ای دندانپزشکی برای حفظ سلامت و دوام آن ها ضروری است.













